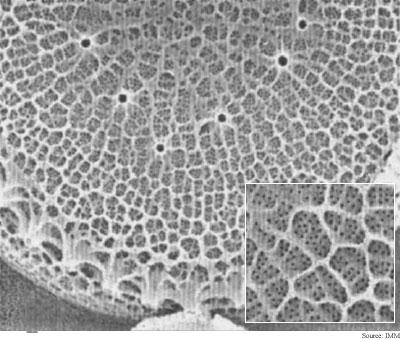
Description:  These microscope images show the nanostructure of diatom shells, which look to be natural chemical sensors.
Source:  Institute for Microelectronics and Microsystems
Story:  Nature's nano sensors
TRN December 12, 2005
TRN Categories:  Nanotechnology
Form:  Still

 
Home     Archive     Resources    Feeds     Offline Publications     Glossary
TRN Finder     Research Dir.    Events Dir.      Researchers     Bookshelf
   Contribute      Under Development     T-shirts etc.     Classifieds
Forum    Comments    Feedback     About TRN

© Copyright Technology Research News, LLC 2000-2008. All rights reserved.